Newestindonesia.co.id, Di dalam rongga mulut manusia terdapat sebuah jaringan kecil namun memiliki peran penting yang sering luput dari perhatian, yaitu frenulum. Frenulum adalah lipatan jaringan lunak yang menghubungkan bibir atau lidah dengan gusi. Salah satu yang paling mudah terlihat adalah frenulum yang berada di tengah antara dua gigi depan atas, tepat di balik bibir atas.
Meski ukurannya kecil, frenulum berfungsi sebagai penopang posisi bibir agar tetap stabil saat berbicara, makan, dan menelan. Dalam kondisi normal, frenulum tidak menimbulkan masalah. Namun, pada sebagian orang, frenulum bisa terlalu tebal, pendek, atau menempel terlalu rendah pada gusi sehingga memicu berbagai gangguan kesehatan mulut.
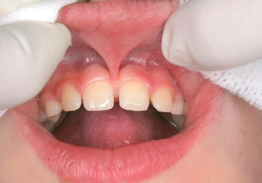
Apa Itu Frenulum di Antara Gigi Depan?
Frenulum yang berada di tengah gigi depan atas dikenal secara medis sebagai labial frenulum. Jaringan ini berwarna merah muda pucat dan terasa elastis saat bibir ditarik ke atas. Struktur ini membantu membatasi gerakan bibir agar tidak terlalu jauh sekaligus menjaga keseimbangan jaringan mulut.
Pada anak-anak, frenulum biasanya lebih tebal dan akan menipis seiring pertumbuhan. Namun pada sebagian orang dewasa, frenulum tetap besar dan menonjol, bahkan bisa menyebabkan celah permanen di antara dua gigi depan atau yang dikenal sebagai diastema.
Fungsi Utama Frenulum
Beberapa fungsi penting frenulum di antaranya:
- Menjaga posisi bibir agar stabil
- Membantu koordinasi saat berbicara
- Mendukung proses mengunyah dan menelan
- Menjaga struktur jaringan gusi tetap seimbang
Tanpa frenulum, gerakan bibir bisa menjadi terlalu bebas dan mengganggu kontrol otot mulut.
Masalah yang Sering Terjadi Akibat Frenulum
Frenulum yang tidak normal bisa menimbulkan berbagai keluhan, seperti:
1. Celah Gigi Depan (Diastema)
Frenulum yang menempel terlalu rendah dapat menarik gusi dan mendorong gigi depan menjauh satu sama lain.
2. Gusi Mudah Berdarah
Tarikan berlebih dari frenulum bisa membuat jaringan gusi lebih sensitif dan rentan iritasi.
3. Gangguan Bicara
Pada kasus tertentu, frenulum yang terlalu kaku dapat memengaruhi pelafalan huruf tertentu.
4. Nyeri Saat Menggerakkan Bibir
Beberapa orang merasakan ketegangan atau rasa tidak nyaman saat tersenyum lebar atau makan.
Kapan Frenulum Perlu Ditangani?
Tidak semua kondisi frenulum membutuhkan perawatan medis. Namun, pemeriksaan ke dokter gigi disarankan jika:
- Celah gigi depan semakin melebar
- Gusi sering meradang atau berdarah
- Terjadi kesulitan berbicara
- Muncul rasa nyeri yang berulang
Dokter biasanya akan mengevaluasi apakah frenulum cukup fleksibel atau perlu tindakan koreksi.
Prosedur Penanganan: Frenektomi
Jika frenulum dinilai mengganggu, dokter dapat melakukan prosedur sederhana yang disebut frenektomi. Ini adalah tindakan pemotongan sebagian atau seluruh frenulum untuk melepaskan tarikan berlebih pada gusi dan gigi.
Prosedur ini:
- Cepat (biasanya kurang dari 30 menit)
- Minim rasa sakit dengan anestesi lokal
- Penyembuhan relatif singkat
Banyak pasien merasakan perbaikan langsung pada kenyamanan mulut setelah tindakan ini.
Perawatan Setelah Tindakan
Pasca frenektomi, pasien disarankan untuk:
- Menjaga kebersihan mulut dengan baik
- Menghindari makanan keras selama beberapa hari
- Menggunakan obat kumur antiseptik bila dianjurkan dokter
- Datang kontrol sesuai jadwal
Biasanya luka akan sembuh dalam 1–2 minggu tanpa komplikasi serius.
Pentingnya Pemeriksaan Rutin
Frenulum sering dianggap sepele karena tidak menimbulkan rasa sakit langsung. Padahal, dalam jangka panjang, struktur ini bisa memengaruhi kesehatan gigi dan estetika senyum. Pemeriksaan rutin ke dokter gigi setidaknya setiap enam bulan sekali sangat dianjurkan untuk mendeteksi masalah sejak dini.
(DAW)
Dapatkan update berita terkini langsung di WhatsApp Anda.
Ikuti SekarangIngin publikasi berita mengenai personal, perusahaan, instansi? Hubungi marketing kami di WhatsApp



You must be logged in to post a comment Login